Leading the Way in Dental Implant Mastery
dentist in rabat
Do you think you don’t have enough bone to support a dental implant?
Dr Benkhadra Imad has some great news for you! Around 77% of patients who think they have insufficient bone density discover that they can still have dental implants after a thorough consultation. Thanks to our years of experience and the advanced techniques we have discovered, many patients who get dental implants leave our dental clinic in Hay Riad, Rabat with a temporary restoration on the same day.
dental implants in rabat, morocco
Dental Implants Surgery with Dr. Benkhadra Imad
Comprehensive Consultation for Dental Implants
Before your dental implant surgery in Rabat, Dr. Benkhadra will provide a detailed consultation to evaluate your oral health and determine the best treatment plan for you. This includes reviewing your X-rays, 3D scans, and medical history to ensure your dental implants are placed accurately and effectively. With a personalized approach, Dr. Benkhadra creates a treatment plan that’s tailored to your unique needs, ensuring the best possible outcome.
Implant Placement with Precision: Fast and Comfortable Procedure
The dental implant placement procedure is quick, typically taking between 20 to 40 minutes, the surgery is performed under local anesthesia.
surgeon dentist in hay riad, rabat
With over 20 years of experience in dentistry and a proven track record of successfully placing more than 8,400 dental implants since 2006, our clinic in Rabat is a trusted destination for restoring confident, healthy smiles. We combine advanced techniques, state-of-the-art technology, and personalized care to deliver exceptional results for each patient.
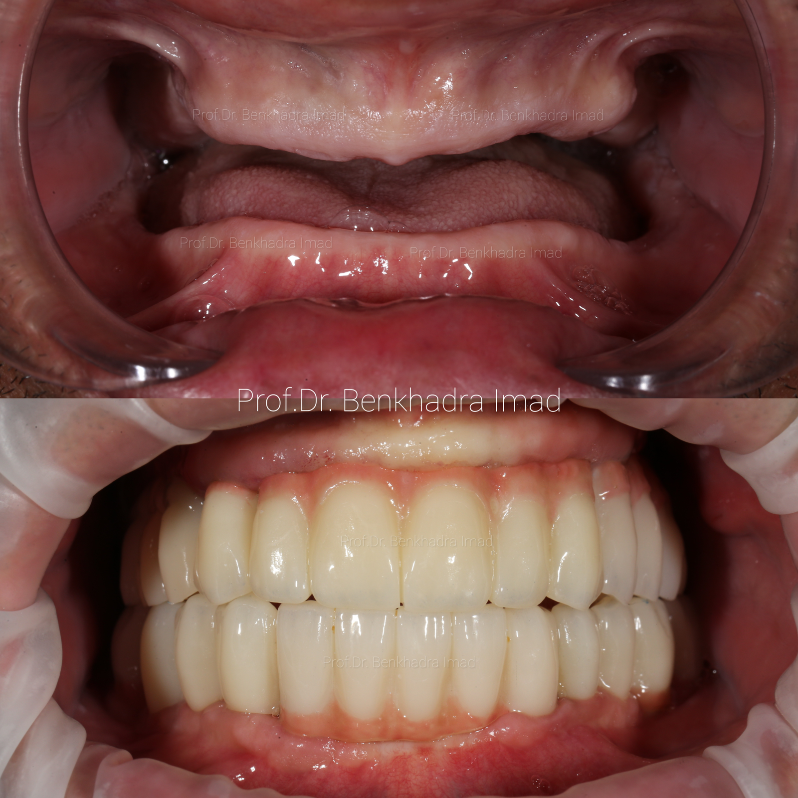
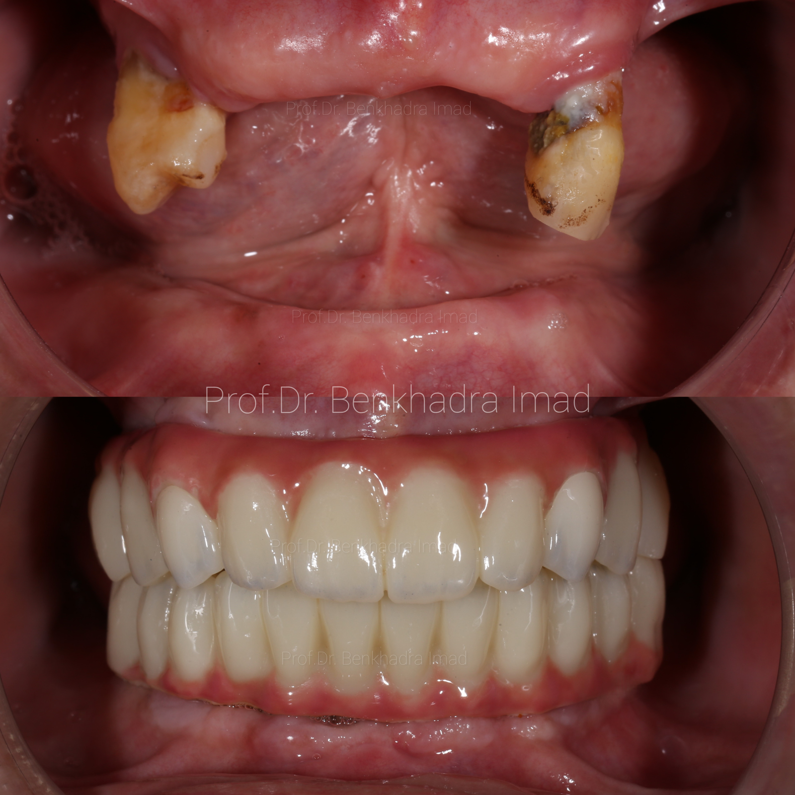
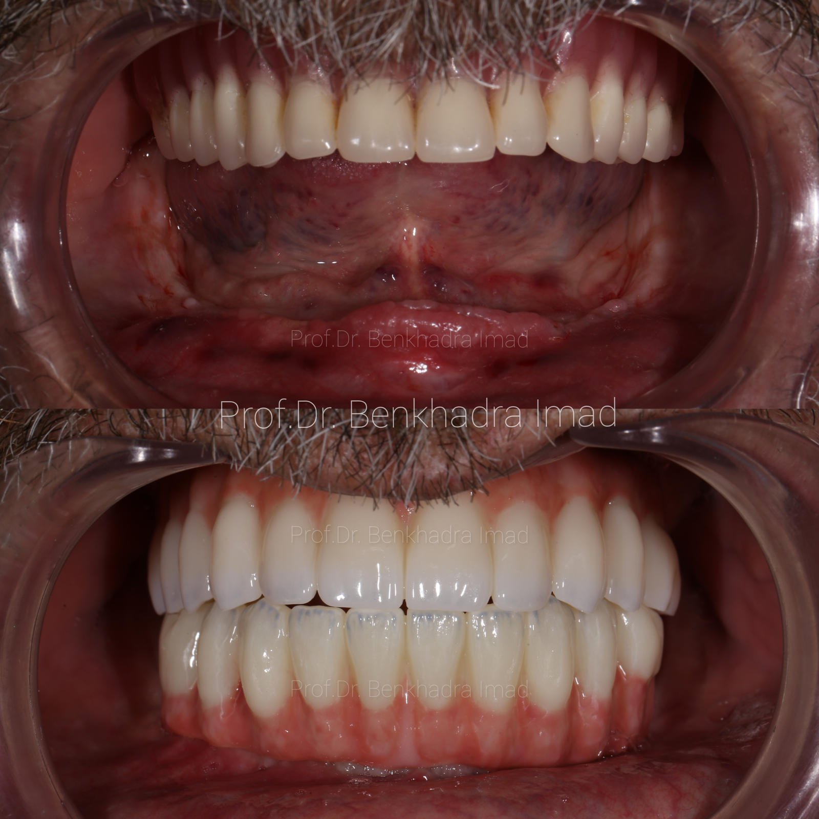
Full Smile Rehabilitation with Dental Implants | Real Case
Why Our In-House Dental Laboratory in Rabat Sets Us Apart
Faster Dental Restorations
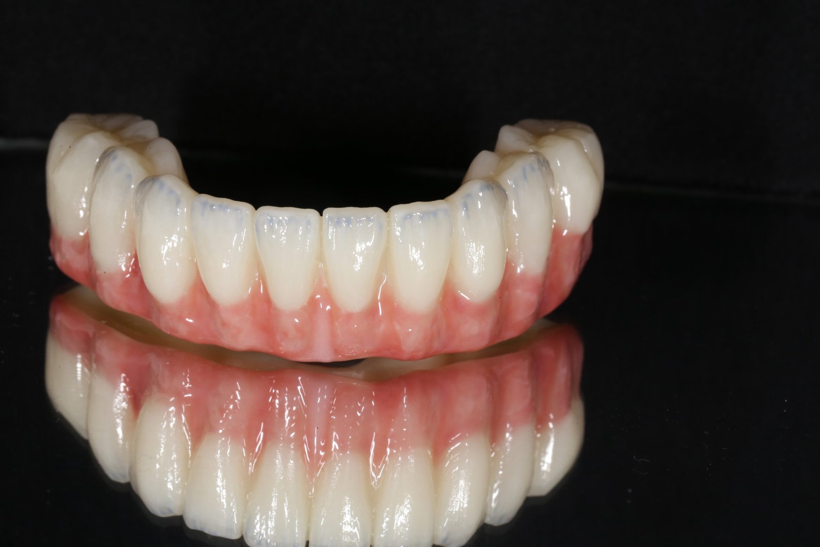
Our in-house dental lab in Rabat allows us to reduce the time it takes to create your dental restorations. Whether you need a crown, bridge, or dentures, you’ll experience faster treatment without compromising quality.
Perfectly Customized Restorations
Every patient’s smile is unique. Working directly with our technicians ensures that your dental prosthetics fit perfectly, blend seamlessly with your natural teeth, and enhance your overall smile.
Improved Communication for Better Results
With our lab located on-site, our dentists and technicians work together in real time, ensuring your dental restorations meet functional and aesthetic goals.
Quality You Can Trust
Having an in-house lab allows us to maintain complete control over the quality of materials and craftsmanship. This ensures that every crown, veneer, or implant restoration we create is built to last.
Enhanced Patient Experience
Our Rabat-based dental lab provides a personalized experience for every patient. From selecting the right shade for your veneers to perfecting the fit of your implant crowns, we involve you in every step of the process.
How Our In-House Lab Benefits Dental Implant Patients
Dental implants require precision to ensure a perfect fit and natural appearance. At our clinic in rabat, our in-house lab ensures that implant-supported crowns and bridges are customized to match your smile while providing optimal function.
Dr Said EL JASTIMITrustindex verifies that the original source of the review is Google. Excellente expérience . Je suis quelqu’un qui a toujours eu la phobie du dentiste depuis mon plus jeune âge, Dr Benkhadra a réussi à me convaincre par la qualité irreprochable de son travail qui m’a permis de me sentir en confiance. Et bien sûr je ne peux oublier l’ensemble du personnel du German Syrian Dental Clinic. Bravo et Merci. Je recommande vivement. Jihane DaifTrustindex verifies that the original source of the review is Google. Je recommande vivement la clinique dentaire germano-syrienne pour la qualité exceptionnelle de ses soins. Le Dr Benkhadra est un expert dans son domaine, combinant parfaitement savoir-faire et technologies de pointe. Grâce à son approche douce et rassurante, chaque étape du traitement s’est déroulée avec professionnalisme et transparence. L’équipe est également très attentionnée, créant un environnement où le bien-être des patients est prioritaire. Un grand merci pour cette expérience à la fois humaine et professionnelle. Je recommande vivement ! 🦷🙏 Sam TarifTrustindex verifies that the original source of the review is Google. لا ابالغ اذا قلت انها طفره في الزمان وفي المكان , عشت في شمال امريكا واوروبا لمده اربعين عاما ، لم اصادف نظيرا لهذه الكلينيك لا على المستوى التقني ولا على مستوى احترافيه الاطباء والاهم من ذلك تشعر بانهم يبلغون رساله انسانيه Je n'exagère pas en disant qu'il s'agit d'un décalage spatio-temporel. J'ai vécu en Amérique du Nord et en Europe pendant quarante ans et je n'ai pas encore vu d'équivalent à cette clinique, ni au niveau technique ni au niveau du professionnalisme des médecins, qui plus important encore, donnent surtout l’impression qu’ils transmettent un message humanitaire. Aicha AmraniTrustindex verifies that the original source of the review is Google. c'est un centre au top!!très compétents , hautement recommandé Karim NANOUTrustindex verifies that the original source of the review is Google. Good Fatima Al gaithTrustindex verifies that the original source of the review is Google. أفضل طبيب جراحة أسنان في الرباط يستحق الثناء والتقديرVerified by TrustindexTrustindex verified badge is the Universal Symbol of Trust. Only the greatest companies can get the verified badge who has a review score above 4.5, based on customer reviews over the past 12 months. Read more
Where science meets art
Where art meets science
Opening hours
Monday 09:00 – 19:30
Tuesday 09:00 – 19:30
Wednesday 09:00 – 19:30
Thursday 09:00 – 19:30
Friday 09:00 – 19:30
Saturday 09:00 – 15:30
address: villa 5, Rue Addalbout, Rabat 10100
Book Your Session With Dr.BENKHADRA
© 2025 dr benkhadra imad. all rights reserved. privecy policy. accessibility \ Website developed by Marketing Aiders








